Research
Selective Vulnerability in Alzheimer’s Disease
Entorhinal cortex subfields (left) and phosphorylated-tau severity (right) mapped onto human entorhinal cortex MRI (green to dark red = low to severe phosphorylated tau pathology). [Oltmer et al., 2022 (left) and Llamas-Rodríguez et al., 2022 (right)]
The QPATH lab’s research focuses on selective vulnerability in Alzheimer’s disease, aiming to find areas and neurons that exhibit as particularly vulnerable to pathological changes and can serve as indicators of disease progression. Alzheimer’s disease targets the medial temporal lobe, particularly the perirhinal and entorhinal cortices, which are the first cortical sites for neurofibrillary tangles in the human brain. One of the heaviest hit sites in Alzheimer’s disease is entorhinal cortex, where phosphorylated tau (p-tau) accumulates as tau tangles at the preclinical stage. Our research has shown a vulnerability of the posterior entorhinal cortex to tau tangle and phosphorylated transactive response DNA-binding protein (pTDP-43) accumulation. It was demonstrated that posterior-lateral subfields of the entorhinal cortex were the most vulnerable to pTDP-43 and that the pattern of distribution of pTDP-43 burden mirrored that of p-tau, but the burden of p-tau was consistently higher.
Vasculature in entorhinal cortex separated by entorhinal subfield (left) and phosphorylated tau severity (right) mapped onto human entorhinal cortex MRI (green to dark red = low to severe phosphorylated tau pathology). [Llamas-Rodríguez et al., 2024]
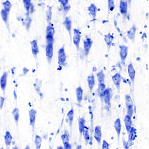
Hippocampal Neuroanatomy
Microscopic view of hippocampal subfields [Williams et al., 2023]
Within neuroanatomy, many subregions within the hippocampus have disputed boundaries, discrepancies, and omissions. It is crucial to establish regimented protocols and remove the subjective aspect for parcellation of anatomical areas and subfields, bringing scientific rigor to the field of neuroanatomy. Aging and Alzheimer’s disease differentially affect the hippocampal subfields and thus establishing cell-validated definitions for the hippocampal subfields are needed to corroborate and determine reliable biomarkers in Alzheimer’s disease vulnerability. We have previously published a comprehensive guide to parcellating the hippocampal subfields, standardizing the parcellation characteristics. We also evaluated features assessing the hippocampal subfield prosubiculum and neighboring subfields.
Validation between histology and neuroimaging
Our lab provides necessary validation between histology and immunohistochemistry and neuroimaging. We use histology to provide ground-truth anatomical parcellations and incorporate into magnetic resonance imaging segmentation software. We have begun investigating deep learning software as a method of automating neuron counts.







